티스토리 뷰
목차

치매, 미리 알수록 예방할 수 있다
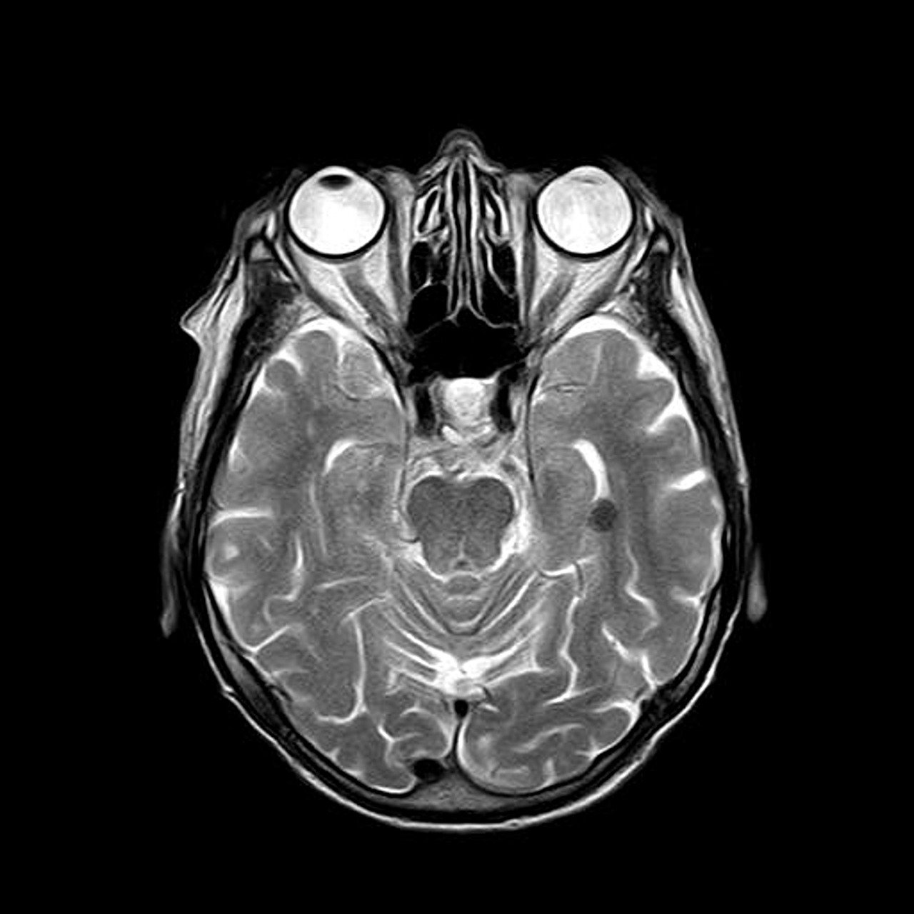
치매는 단순한 기억력 저하가 아니라 일상생활에 심각한 영향을 미치는 질환입니다. 많은 사람들이 "나는 괜찮겠지"라고 생각하지만, 치매는 조기에 발견하고 적절한 조치를 취해야 진행을 늦출 수 있습니다. 특히 초기 치매 검사는 필수입니다. 이 글에서는 치매 초기 검사가 중요한 이유와 치매를 예방하기 위한 방법을 알아보겠습니다.
치매 초기 검사, 왜 필수인가?
1. 조기 발견이 치료 가능성을 높인다
치매는 완치가 어려운 질환이지만, 조기에 발견하면 진행 속도를 늦출 수 있습니다. 치료 가능한 경도인지장애(MCI) 단계에서 생활습관을 개선하고 약물 치료를 시작하면 정상적인 생활을 더 오래 유지할 수 있습니다. 또한, 조기 발견 시 치매 예방을 위한 운동, 영양 관리, 두뇌 자극 활동 등을 실천할 기회가 많아집니다. 이러한 관리가 병행되면 치매 진행을 늦추는 데 도움이 될 수 있습니다.
지금 상태를 확인해 보세요.
2. 가족과 본인의 삶의 질을 높인다
치매는 환자 본인뿐만 아니라 가족에게도 큰 영향을 미칩니다. 초기 검사 후 관리하면 돌봄 부담이 줄어들고, 삶의 질을 유지할 수 있습니다. 특히 치매 예방을 위한 생활습관을 개선할 기회도 얻게 됩니다. 조기 진단을 통해 치매 환자와 가족이 미리 대비할 수 있으며, 정서적, 경제적 부담을 줄일 수 있습니다. 가족 구성원도 환자의 증상과 대처법을 익히면서 심리적인 안정을 찾을 수 있습니다.









3. 건강보험 혜택을 받을 수 있다
치매 검사는 건강보험 적용이 가능하며, 조기 진단 시 일부 치료 비용 지원도 받을 수 있습니다. 많은 사람들이 검사의 비용이 부담된다고 생각하지만, 실제로는 국가 지원을 통해 경제적인 부담 없이 검사를 받을 수 있습니다. 특히, 보건소에서는 60세 이상 어르신을 대상으로 무료 치매 검진을 지원하고 있습니다. 지역 보건소를 방문하면 간단한 인지기능 검사를 받을 수 있으며, 이상이 발견되면 추가 검사를 통해 조기 진단이 가능합니다.
4. 치매와 헷갈릴 수 있는 다른 질환 감별 가능
기억력이 떨어진다고 해서 무조건 치매는 아닙니다. 스트레스, 우울증, 갑상선 질환, 비타민 결핍 등으로 인해 기억력 저하가 발생할 수 있습니다. 정확한 원인을 알기 위해서라도 치매 초기 검사는 필수입니다. 치매와 유사한 증상을 보이는 질환들은 적절한 치료를 통해 회복될 수 있습니다. 따라서 전문가와 상담하여 정확한 진단을 받는 것이 중요합니다.









치매 초기 검사는 선택이 아니라 필수!
치매는 조기에 발견하고 관리하면 진행을 늦추고 삶의 질을 유지할 수 있는 질환입니다. 늦기 전에 검사하고 예방하는 것이 가장 현명한 방법입니다.









🎯 치매 예방을 위해 가장 중요한 첫걸음은 '검사'입니다.